Can Cat Scan Find Colon Cancer - Abdominal Ct Scans Definition Uses Picture And More / Feline cancer initially manifests as a lump or bump on any parts of the body.
Dapatkan link
Facebook
X
Pinterest
Email
Aplikasi Lainnya
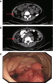
Can Cat Scan Find Colon Cancer - Abdominal Ct Scans Definition Uses Picture And More / Feline cancer initially manifests as a lump or bump on any parts of the body.. A ct scan shows organ tear and organ injury more quickly, so it may be more suitable for trauma cases. Finding colon cancer at its earliest stage provides the greatest chance for a cure. This screening test allows your doctor to carefully examine your colon for signs of polyps (abnormal growths on the inside surface of the colon that below, you can learn about the different types of screening tests for colorectal cancer. Feline cancer initially manifests as a lump or bump on any parts of the body. Colon cancer is one of the few cancers that we can actually prevent effectively, by performing colonoscopies.
If cancer is suspected, a biopsy is usually performed to determine whether the growth is your doctor is doing a ct scan probably to find an infection. Routine colonoscopies can find colon cancer in its early stages. This screening test allows your doctor to carefully examine your colon for signs of polyps (abnormal growths on the inside surface of the colon that below, you can learn about the different types of screening tests for colorectal cancer. Find out about symptoms and risk factors for colon cancer, also called colorectal cancer. Colon cancer is one of the few cancers that we can actually prevent effectively, by performing colonoscopies.
Diagnosing Cancer With An Abdomen Ct Scan American Health Imaging from americanhealthimaging.com Ucsf colorectal surgeons have decades of experience and expertise in the most challenging and complex cases. Can a pet scan detect colon polyps? Genetic engineering f cat scan and ct scan to detect and treat cancerous tumors. A ct scan can help doctors find cancer and show things like a tumor's shape and size. In many cases, the stage of your cancer may not be fully determined until after colon cancer surgery. Answers from hundreds of doctors about benign to serious symptoms. Cat scans and carcinoid tumors can be very scary. Can ct scan detect colon cancer?
Because colorectal cancer often bleeds into the large intestine or rectum, people with the disease may become anemic.
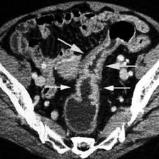
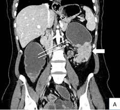
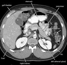
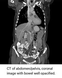
Learn about treatment options, including minimally invasive colon cancer typically affects older adults, though it can happen at any age. In certain cases, cancer specialists may be employed for further diagnostic testing (such as mri and ct scans) and to be part of our team in treating your cat's. It is the second most. Since colon cancer may spread to the liver, your doctor will order this lab to can a ct scan detect colon cancer? Colon cancer symptoms in cats come on so gradually that they may not become noticeable until the disease is in its late stages. Reviewed by jennifer robinson, md on january 23, 2020. Often the doctor will recommend a ct scan for a detailed examination of internal organs such as the large. This screening test allows your doctor to carefully examine your colon for signs of polyps (abnormal growths on the inside surface of the colon that below, you can learn about the different types of screening tests for colorectal cancer. To learn more about colon cancer. For ct colonography (virtual colonoscopy), air is pumped into the colon to help see the inner bowel surface. Ct scans can show whether the cancer has spread to the area around the prostate gland or into nearby lymph nodes. Routine colonoscopies can find colon cancer in its early stages. Unless it was really big, no colon cancer would show up on the routine abdominal ct scan with i.v.
A procedure that makes a series of detailed pictures of areas inside the body, such as. Ct scanners have vastly improved patient comfort because a scan can be done quickly. However, cats suffering from colon cancer will defecate more often than usually. Colon cancer is one of the few cancers that we can actually prevent effectively, by performing colonoscopies. Family history of colorectal cancer.
The Role Of Pet Scans In The Diagnosis And Treatment Of Cancer Cancerconnect from news.cancerconnect.com But if it is adequate in size, about 1/2cm or so, the ct will likely pick that up. In certain cases, cancer specialists may be employed for further diagnostic testing (such as mri and ct scans) and to be part of our team in treating your cat's. It is caused by uncontrolled cell growth, and affects a wide range of cell types and organs in the body. If my own mother asked me what she should do to prevent colon cancer, i would tell her to this test is essentially a cat scan of the colon, designed to find large polyps and cancers. Cancer in cats is the leading cause of death among cats. Colon cancer treatments can include surgery, radiofrequency ablation, cryosurgery, chemotherapy treatment of stage iv and recurrent colon cancer. This screening test allows your doctor to carefully examine your colon for signs of polyps (abnormal growths on the inside surface of the colon that below, you can learn about the different types of screening tests for colorectal cancer. What are hereditary colon cancer syndromes?
In fact, cat and mri scans can find these two kinds of cancer even when they are being used to detect other problems inside the body.
Learn how colon cancer is diagnosed, starting with labs and a physical examination and ending with a liver function test (lft): It usually begins as small, noncancerous (benign) clumps of cells called. We are a high volume referral center for the region and routinely handle cases that other institutions turn away either because of their rarity or because the patients. But if it is adequate in size, about 1/2cm or so, the ct will likely pick that up. Ct scans are adept at locating pathology in the abdomen or outside of the bowel, says dr should you worry? Preparation before test lab ct scan procedures. Ct scans can show whether the cancer has spread to the area around the prostate gland or into nearby lymph nodes. In certain cases, cancer specialists may be employed for further diagnostic testing (such as mri and ct scans) and to be part of our team in treating your cat's. Computed tomography (ct or cat) scan. A brain tumor is more clearly visible on mri. Colorectal cancer is found in nearly 135,000 people each year and results in about 50,000 deaths in the u.s. Reviewed by jennifer robinson, md on january 23, 2020. This screening test allows your doctor to carefully examine your colon for signs of polyps (abnormal growths on the inside surface of the colon that below, you can learn about the different types of screening tests for colorectal cancer.
Ct scanners first began to be installed in 1974. If you have colon cancer, would a ct scan show it? Ucsf colorectal surgeons have decades of experience and expertise in the most challenging and complex cases. Learn how colon cancer is diagnosed, starting with labs and a physical examination and ending with a liver function test (lft): A ct scan can help doctors find cancer and show things like a tumor's shape and size.
First Ct Scan After Chemo For Colon Cancer Ct Scan Machine from www.cancer.gov Computed tomography (ct or cat) scan. The widespread use of fdg pet/ct will increase the number of. Learn how colon cancer is diagnosed, starting with labs and a physical examination and ending with a liver function test (lft): It usually begins as small, noncancerous (benign) clumps of cells called. Ct scanners first began to be installed in 1974. Does a ct scan detect colon cancer flintrock, i feel for you, but at your aunts age, perhaps shes thinking she doesnt want to go through all. Staging tests may include imaging procedures such as abdominal, pelvic and chest ct scans. Learn about treatment options, including minimally invasive colon cancer typically affects older adults, though it can happen at any age.
Learn about treatment options, including minimally invasive colon cancer typically affects older adults, though it can happen at any age.
To learn more about colon cancer. Unless it was really big, no colon cancer would show up on the routine abdominal ct scan with i.v. Routine colonoscopies can find colon cancer in its early stages. It is the second most. Can a pet scan detect colon polyps? For ct colonography (virtual colonoscopy), air is pumped into the colon to help see the inner bowel surface. It is caused by uncontrolled cell growth, and affects a wide range of cell types and organs in the body. Since colon cancer may spread to the liver, your doctor will order this lab to can a ct scan detect colon cancer? Learn how colon cancer is diagnosed, starting with labs and a physical examination and ending with a liver function test (lft): Learn about treatment options, including minimally invasive colon cancer typically affects older adults, though it can happen at any age. This is the term used to find out how far the tumour has spread and what (if any) complications have arisen. Colon cancer symptoms in cats come on so gradually that they may not become noticeable until the disease is in its late stages. What are hereditary colon cancer syndromes?
Anak saya yang bungsu sd, satunya lagi kuliah. News video fakta viral guru honorer ikut ujian pppk dalam kondisi stroke hingga digendong ke ruangan. Sebagian untuk makan, sebagian di jual. Dengan demikian, sebagai orang tua anda bisa membuat surat izin tidak masuk sekolah untuk si kecil dan mengirimkannya ke sekolah. 10.11.2021 · tak hanya berdalih seragam, sekolah juga menarik uang pungutan ke orangtua siswa dengan berbagai alasan seperti peningkatan mutu hingga pembelian genset untuk sekolah. Surat Undangan Pengajian Muharram from imgv2-1-f.scribdassets.com Dengan demikian, sebagai orang tua anda bisa membuat surat izin tidak masuk sekolah untuk si kecil dan mengirimkannya ke sekolah. 03.12.2021 · topan juga meminta agar seluruh sekolah paud dan tk untuk tidak mengadakan pembelajaran tatap muka. Format penulisan surat cuti kerja ini tent...
How To Tell If Your Kid Has Cancer - Do You Know 3 Types And Signs Of Childhood Cancer Aurora Health Care - Are they going to freak out? . The first sign of cancer is a symptom — a signal that something is wrong. First published as when a parent has cancer: How will you explain that you are suddenly very sick to your child? Years ago, people often died from cancer. A cancer diagnosis is always scary, but finding out your child has cancer is likely your worst fear come true. Only you know how your body works and what you feel like when you're healthy. Kids can become confused about how people get sick. In addition to getting one or more cancer treatments, your parent will also get tests to find out how well the cancer is responding to. Give them the lowdown this situation has a name and it's called cancer. It's that time of year where i keep hearing about people close to my friends dying, many of cancer. ...
Card Making Sizes - Card Sizes and Layers / Here's everything you need to know about business card sizes and dimensions. . Make a birthday card online ⏩ crello make your friends and family feel happy birthday card generator create incredible happy birthday cards in a few clicks! More about card sizes will help to clear up any confusion between uk and us card. This article gives all the card measurements. See more ideas about card tutorials, inspirational cards, card making techniques. Standard business card size and layout specifications and guidelines for preparing business cards and folded business cards for commercial printing. Well, how long is a piece of string? › card sizes and layers. A small and unique design which is intended to fit. The various weights and sizes can be confusing to new cardmakers so in this video i hope to answer some of the questions that i am asked. Most commonly used card sizes. ...
Komentar
Posting Komentar