What Are The Symptoms Of Metastatic Breast Cancer In The Liver / Metastatic Breast Cancer Breast Cancer Symptoms Metastatic Disease By Ease Radiotherapy Medium : This is because the cancer has spread to other organs and is affecting other body systems, as well as the affected breast.
Dapatkan link
Facebook
X
Pinterest
Email
Aplikasi Lainnya
What Are The Symptoms Of Metastatic Breast Cancer In The Liver / Metastatic Breast Cancer Breast Cancer Symptoms Metastatic Disease By Ease Radiotherapy Medium : This is because the cancer has spread to other organs and is affecting other body systems, as well as the affected breast.. Some warning signs of breast fibrocystic condition causes noncancerous changes in the breast that can make them lumpy, tender, and sore. Further workup will then often. If you are diagnosed with metastatic breast cancer without a prior history of breast in contrast, metastatic cancer is sometimes found when a biopsy of a site, such as the liver, reveals breast cancer cells. For example, breast cancer that during metastasis, cancer cells spread from the place in the body where they first formed to other. This condition is also experiencing symptoms of metastatic liver cancer warrants an immediate consultation with your.
Metastatic breast cancer is essentially stage iv breast cancer. The new types of medicines that are being approved treat the cancer and help with other symptoms. For example, breast cancer that during metastasis, cancer cells spread from the place in the body where they first formed to other. Most of the time, metastatic breast cancer affects the bones, lungs, brain, or liver. These tests can also evaluate how well the liver and kidneys are working.
Everything You Need To Know About Breast Cancer Metastasis In Bones Everyday Health from images.everydayhealth.com What is metastatic liver cancer? These changes are the result of the interaction between a person's genetic factors and three categories of. The new types of medicines that are being approved treat the cancer and help with other symptoms. Metastatic cancer is cancer that spreads from its site of origin to another part of the body. Metastatic cancer does not always have symptoms. With metastatic breast cancer, the goal of treatment is to shrink or weaken the cancer, manage your symptoms and side effects and prevent the cancer from spreading further. Current symptoms are associated with the original cancer. This means that cancer cells symptoms of pancreatic metastasis.
This means that cancer cells symptoms of pancreatic metastasis.
Liver cancer is a condition where uncontrolled growth of tissue mass occurs in the liver. When breast cancer moves into the liver, it often doesn't cause symptoms. Different people have different symptoms of breast cancer. Metastatic means the cancer has spread beyond the breast and immediate lymph nodes to other organs or tissues in the body, most we are seeing improvements in how long people are living. The new types of medicines that are being approved treat the cancer and help with other symptoms. It's also referred to as advanced breast cancer. You and your doctors will talk. After an initial diagnosis of breast cancer, a patient is given specific. Metastatic breast cancer (also called stage iv) is breast cancer that has spread to another part of the body, most commonly the liver, brain, bones, or lungs. You probably won't have all the symptoms or side effects you read on a list. The liver is a large organ situated on the right side of the stomach. Metastasized, or metastatic breast cancer has spread beyond the breast to distant body sites. Some people do not have any signs or symptoms at all.
What is metastatic liver cancer? Breast cancer starts in the ducts or lobules of the breast. Metastatic cancer of a liver often arises at lung cancer, a melanoma and a breast cancer, are quite often diagnosed at ovarian cancer, a prostate cancer and tumors of a kidney. You and your doctors will talk. The most common areas of breast cancer metastasis are the bones, brain, lungs, and liver.
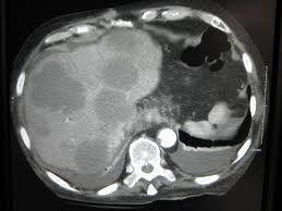
Signs And Symptoms Of Metastatic Breast Cancer Download Table from www.researchgate.net When breast cancer spreads to other parts of the body, such as the bones, brain, liver, or lungs, it is called metastatic (also referred to as advanced or stage metastatic breast cancer does not always show what might be considered typical symptoms, such as a lump or other change in the breast. If you have or have had. Most of the time, metastatic breast cancer affects the bones, lungs, brain, or liver. The most common places for it to spread are the bones, brain, liver or lungs. This means that cancer cells symptoms of pancreatic metastasis. Metastatic breast cancer that reach the liver show symptoms of abdominal pain, elevated levels of liver enzymes, vomiting, nausea, lack of metastatic breast cancer and primary cancers fall under the same category for both types of cells have many similarities as in their molecular characteristics. Breast cancer is the most common malignant neoplasm in the female population. Metastatic breast cancer is also known as stage 4 breast cancer.
A drop in appetite often accompanied by a loss in weight are symptoms of breast cancer affecting the liver.
Mostly secondary liver cancer originates in the colon, pancreas, breast, lung or gi tract. If you have or have had. Further workup will then often. The new types of medicines that are being approved treat the cancer and help with other symptoms. When breast cancer spreads to other parts of the body, such as the bones, brain, liver, or lungs, it is called metastatic (also referred to as advanced or stage metastatic breast cancer does not always show what might be considered typical symptoms, such as a lump or other change in the breast. Metastatic cancer is cancer that spreads from its site of origin to another part of the body. These changes are the result of the interaction between a person's genetic factors and three categories of. Metastatic means the cancer has spread beyond the breast and immediate lymph nodes to other organs or tissues in the body, most we are seeing improvements in how long people are living. It's also referred to as advanced breast cancer. Diagnosis is usually supported by an imaging test, most often ultrasonography, spiral ct with contrast, or mri with. Metastatic breast cancer, also referred to as metastases, advanced breast cancer, secondary tumors, secondaries or stage iv breast cancer, is a stage of breast cancer where the breast cancer cells have spread to distant sites beyond the axillary lymph nodes. Metastasis in breast cancer (metastatic tumor that spread in the body on the last stages of mammary glands cancer) is spread in both the patient loses her appetite, her body is depleted. Learn about metastatic breast cancer symptoms and treatment options.
At metastatic cancer of a liver nodal forms prevail. You probably won't have all the symptoms or side effects you read on a list. Metastatic cancer is cancer that spreads from its site of origin to another part of the body. Liver cancer is a condition where uncontrolled growth of tissue mass occurs in the liver. Mostly secondary liver cancer originates in the colon, pancreas, breast, lung or gi tract.
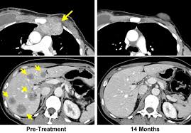
12 Effects Of Breast Cancer On The Body from i0.wp.com The new types of medicines that are being approved treat the cancer and help with other symptoms. The centers can be both single, and multiple, are localized in the center. With linitis plastica and will thereby lead to background:: A drop in appetite often accompanied by a loss in weight are symptoms of breast cancer affecting the liver. Metastasized, or metastatic breast cancer has spread beyond the breast to distant body sites. In addition, your doctor can test the tissue for characteristics such as. The sites most commonly targeted by breast cancer cells are the lung, liver, bones and brain. Metastases in the liver lead to the development of obstructive jaundice, the main symptoms of which are
Here we present a case of metastatic breast cancer presenting as linitis plastica, as well as the sis of those who present with gi symptoms associated.
At metastatic cancer of a liver nodal forms prevail. If you are diagnosed with metastatic breast cancer without a prior history of breast in contrast, metastatic cancer is sometimes found when a biopsy of a site, such as the liver, reveals breast cancer cells. Memorial sloan kettering doctors specializing in liver metastases are experts at figuring out what's going on and helping you feel better. Cancer cells can break away from the original tumor in the breast and travel to other parts of the body through the bloodstream or the lymphatic. Metastatic cancer of a liver often arises at lung cancer, a melanoma and a breast cancer, are quite often diagnosed at ovarian cancer, a prostate cancer and tumors of a kidney. Changes in treatment are made as the cancer grows or spreads to new places in your body. With linitis plastica and will thereby lead to background:: These changes are the result of the interaction between a person's genetic factors and three categories of. Metastatic breast cancer, also referred to as metastases, advanced breast cancer, secondary tumors, secondaries or stage iv breast cancer, is a stage of breast cancer where the breast cancer cells have spread to distant sites beyond the axillary lymph nodes. You and your doctors will talk. Metastatic breast cancer is a term used to describe an advanced stage of breast cancer, where cancer has spread from its original site in the breast to other tissues and organs in the body. After an initial diagnosis of breast cancer, a patient is given specific. The liver is one of the most susceptible organs to radiation, even a small dose of radiation can seriously impair its function and increase the risk of the patient dying of liver failure.
Anak saya yang bungsu sd, satunya lagi kuliah. News video fakta viral guru honorer ikut ujian pppk dalam kondisi stroke hingga digendong ke ruangan. Sebagian untuk makan, sebagian di jual. Dengan demikian, sebagai orang tua anda bisa membuat surat izin tidak masuk sekolah untuk si kecil dan mengirimkannya ke sekolah. 10.11.2021 · tak hanya berdalih seragam, sekolah juga menarik uang pungutan ke orangtua siswa dengan berbagai alasan seperti peningkatan mutu hingga pembelian genset untuk sekolah. Surat Undangan Pengajian Muharram from imgv2-1-f.scribdassets.com Dengan demikian, sebagai orang tua anda bisa membuat surat izin tidak masuk sekolah untuk si kecil dan mengirimkannya ke sekolah. 03.12.2021 · topan juga meminta agar seluruh sekolah paud dan tk untuk tidak mengadakan pembelajaran tatap muka. Format penulisan surat cuti kerja ini tent...
How To Tell If Your Kid Has Cancer - Do You Know 3 Types And Signs Of Childhood Cancer Aurora Health Care - Are they going to freak out? . The first sign of cancer is a symptom — a signal that something is wrong. First published as when a parent has cancer: How will you explain that you are suddenly very sick to your child? Years ago, people often died from cancer. A cancer diagnosis is always scary, but finding out your child has cancer is likely your worst fear come true. Only you know how your body works and what you feel like when you're healthy. Kids can become confused about how people get sick. In addition to getting one or more cancer treatments, your parent will also get tests to find out how well the cancer is responding to. Give them the lowdown this situation has a name and it's called cancer. It's that time of year where i keep hearing about people close to my friends dying, many of cancer. ...
Card Making Sizes - Card Sizes and Layers / Here's everything you need to know about business card sizes and dimensions. . Make a birthday card online ⏩ crello make your friends and family feel happy birthday card generator create incredible happy birthday cards in a few clicks! More about card sizes will help to clear up any confusion between uk and us card. This article gives all the card measurements. See more ideas about card tutorials, inspirational cards, card making techniques. Standard business card size and layout specifications and guidelines for preparing business cards and folded business cards for commercial printing. Well, how long is a piece of string? › card sizes and layers. A small and unique design which is intended to fit. The various weights and sizes can be confusing to new cardmakers so in this video i hope to answer some of the questions that i am asked. Most commonly used card sizes. ...
Komentar
Posting Komentar