What Does The First Sign Of Mouth Cancer Look Like / Oral Cancers Squamous Cell Carcinoma Of Oral Cavity : What do the early stages of mouth cancer look like?
Dapatkan link
Facebook
X
Pinterest
Email
Aplikasi Lainnya
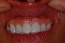
What Does The First Sign Of Mouth Cancer Look Like / Oral Cancers Squamous Cell Carcinoma Of Oral Cavity : What do the early stages of mouth cancer look like?. It can be called the first signs of mouth cancer. Often, the earliest sign of the presence of mouth cancer is a change in the way the mouth looks. Early stages of mouth cancer may look like: Other symptoms of tongue cancer. Painful sores in the mouth:
Signs of inner cheek cancer may include the following: Sometimes, discolored patches of mouth tissue indicate the presence of cancer as well. For instance, a person with this type of cancer could experience swelling or thickening of the mouth, especially in the cheek area. This type of tongue cancer tends to be diagnosed when the cancer is small and more easily removed through surgery. Often, the earliest sign of the presence of mouth cancer is a change in the way the mouth looks.
Mouth Cancer Symptoms And Causes Mayo Clinic from www.mayoclinic.org A canker sore looks like an ulcer, usually with a depression in the center. A white or red patch in the mouth. Lesions/lump or ulcer on the tongue: Early stages of mouth cancer may look like: Other symptoms of tongue cancer. If the sore bump on roof of mouth, patch on tongue, mass formed on gums, swelling or color changes inside the mouth do not go away even after the passage of a few weeks then they should be evaluated by a doctor. Painful sores in the mouth: What do the early stages of mouth cancer look like?
The success of mouth cancer action month depends on your support.
Ultimately, if you know what to look for and see your dentist for regular screenings, early signs of mouth cancer can be identified and taken care of before they become a serious problem. Painful sores in the mouth: You might feel a lump or see a patch of red or white in your mouth. Another type of oral cancer of the cheek is called verrucous carcinoma or warty carcinomas. In the mouth, where it may be more likely to be seen and felt (oral tongue cancer). Red or red and white patches (oral leukoplakia) that appear on the lining of the mouth or the tongue sores and mouth ulcers that will not heal a sore throat or. The early signs of oral cancer can be difficult to spot and therefore are sometimes easily overlooked. You might also notice mouth or tongue pain. What you need to know oral cancer can pop up in any part of the mouth, that includes the inside cheek and the gums. White, red, or dark patches in the mouth a lump in your mouth A patch on your tongue, gums, tonsils, or the lining of your mouth can signal trouble. This type of cancer can develop in a number of places, including the lips, inner lining of the cheeks, salivary glands, gums, tongue, hard palate and soft palate. A canker sore looks like an ulcer, usually with a depression in the center.
In the early stages, mouth cancer rarely causes any pain. But if you undergo regular oral cancer screenings, the chances of catching the disease in its early stages and treating it are very high. Difficulty moving the tongue or jaw. Abnormal cell growth usually appears as flat patches. The early signs of oral cancer can be difficult to spot and therefore are sometimes easily overlooked.
1 from White or red patches in the throat or mouth: Although cancerous lesions may look or feel like cold sores when they appear, they won't heal the same as cold sores. Eating less emanates from the painful sores that make chewing and swallowing unbearable. Cancer may take place in any part of our mouth, so be sure to get checked up by your periodontist from time to time for early treatment. If symptoms persist for several weeks or months, it is important to see your doctor so that, if oral cancer is present, it may be diagnosed as soon as possible. The success of mouth cancer action month depends on your support. Warning signs and symptoms of oral cancer. These patches are not cancer, but it may lead cancer if they left untreated.
A few early signs and symptoms of tongue cancer are.
You might also notice mouth or tongue pain. If the sore bump on roof of mouth, patch on tongue, mass formed on gums, swelling or color changes inside the mouth do not go away even after the passage of a few weeks then they should be evaluated by a doctor. The success of mouth cancer action month depends on your support. It can be called the first signs of mouth cancer. Although cancerous lesions may look or feel like cold sores when they appear, they won't heal the same as cold sores. Difficulty moving the tongue or jaw. Eating less emanates from the painful sores that make chewing and swallowing unbearable. Lesions/lump or ulcer on the tongue: White, red, or dark patches in the mouth a lump in your mouth Oral cancers are highly prevalent, associated with a high death rate and much rarely found on the cheek. For instance, a person with this type of cancer could experience swelling or thickening of the mouth, especially in the cheek area. A canker sore looks like an ulcer, usually with a depression in the center. Painful sores in the mouth:
This article is intended to promote understanding of and knowledge about general oral health topics. Symptoms of oral cancer can include: Difficulty moving the tongue or jaw. If the sore bump on roof of mouth, patch on tongue, mass formed on gums, swelling or color changes inside the mouth do not go away even after the passage of a few weeks then they should be evaluated by a doctor. This type of cancer can develop in a number of places, including the lips, inner lining of the cheeks, salivary glands, gums, tongue, hard palate and soft palate.
Throat Cancer S Link To Oral Sex What You Should Know Health Essentials From Cleveland Clinic from 2rdnmg1qbg403gumla1v9i2h-wpengine.netdna-ssl.com Lesions/lump or ulcer on the tongue: This type of tongue cancer tends to be diagnosed when the cancer is small and more easily removed through surgery. A white or red patch in the mouth. In the throat, at the base of the tongue, where tongue cancer may develop with few signs and symptoms (hypopharyngeal tongue cancer). While there are several types of oral cancers of the cheek, the most common form are squamous cell carcinomas. A few early signs and symptoms of tongue cancer are. A white or red patch inside your mouth or on your lips may be a potential sign of squamous cell carcinoma. Signs of inner cheek cancer may include the following:
A patch on your tongue, gums, tonsils, or the lining of your mouth can signal trouble.
You might feel a lump or see a patch of red or white in your mouth. Signs and symptoms of mouth cancer typically, mouth cancer appears as a sore in the mouth that gets bigger with time and never goes away. A patch on your tongue, gums, tonsils, or the lining of your mouth can signal trouble. It can be called the first signs of mouth cancer. What do the early stages of mouth cancer look like? Having an ulcer on the roof of your mouth (also called your hard palate) is a sign of mouth cancer. Recurrent cold sores aren't a sign of cancer. You can identify the presence of mouth cancer by examining your mouth and the surrounding areas for certain signs and symptoms. Most commonly, tongue cancer starts as a painful sore in the mouth that doesn't heal even after a few weeks. What you need to know oral cancer can pop up in any part of the mouth, that includes the inside cheek and the gums. A canker sore looks like an ulcer, usually with a depression in the center. In the early stages, mouth cancer rarely causes any pain. Abnormal cell growth usually appears as flat patches.
Anak saya yang bungsu sd, satunya lagi kuliah. News video fakta viral guru honorer ikut ujian pppk dalam kondisi stroke hingga digendong ke ruangan. Sebagian untuk makan, sebagian di jual. Dengan demikian, sebagai orang tua anda bisa membuat surat izin tidak masuk sekolah untuk si kecil dan mengirimkannya ke sekolah. 10.11.2021 · tak hanya berdalih seragam, sekolah juga menarik uang pungutan ke orangtua siswa dengan berbagai alasan seperti peningkatan mutu hingga pembelian genset untuk sekolah. Surat Undangan Pengajian Muharram from imgv2-1-f.scribdassets.com Dengan demikian, sebagai orang tua anda bisa membuat surat izin tidak masuk sekolah untuk si kecil dan mengirimkannya ke sekolah. 03.12.2021 · topan juga meminta agar seluruh sekolah paud dan tk untuk tidak mengadakan pembelajaran tatap muka. Format penulisan surat cuti kerja ini tent...
How To Tell If Your Kid Has Cancer - Do You Know 3 Types And Signs Of Childhood Cancer Aurora Health Care - Are they going to freak out? . The first sign of cancer is a symptom — a signal that something is wrong. First published as when a parent has cancer: How will you explain that you are suddenly very sick to your child? Years ago, people often died from cancer. A cancer diagnosis is always scary, but finding out your child has cancer is likely your worst fear come true. Only you know how your body works and what you feel like when you're healthy. Kids can become confused about how people get sick. In addition to getting one or more cancer treatments, your parent will also get tests to find out how well the cancer is responding to. Give them the lowdown this situation has a name and it's called cancer. It's that time of year where i keep hearing about people close to my friends dying, many of cancer. ...
Card Making Sizes - Card Sizes and Layers / Here's everything you need to know about business card sizes and dimensions. . Make a birthday card online ⏩ crello make your friends and family feel happy birthday card generator create incredible happy birthday cards in a few clicks! More about card sizes will help to clear up any confusion between uk and us card. This article gives all the card measurements. See more ideas about card tutorials, inspirational cards, card making techniques. Standard business card size and layout specifications and guidelines for preparing business cards and folded business cards for commercial printing. Well, how long is a piece of string? › card sizes and layers. A small and unique design which is intended to fit. The various weights and sizes can be confusing to new cardmakers so in this video i hope to answer some of the questions that i am asked. Most commonly used card sizes. ...
Komentar
Posting Komentar